Applications
hipix is an ideal addition to office productivity software tools. hipix high resolution images can be added to Acrobat and Word documents, enhancing their features.

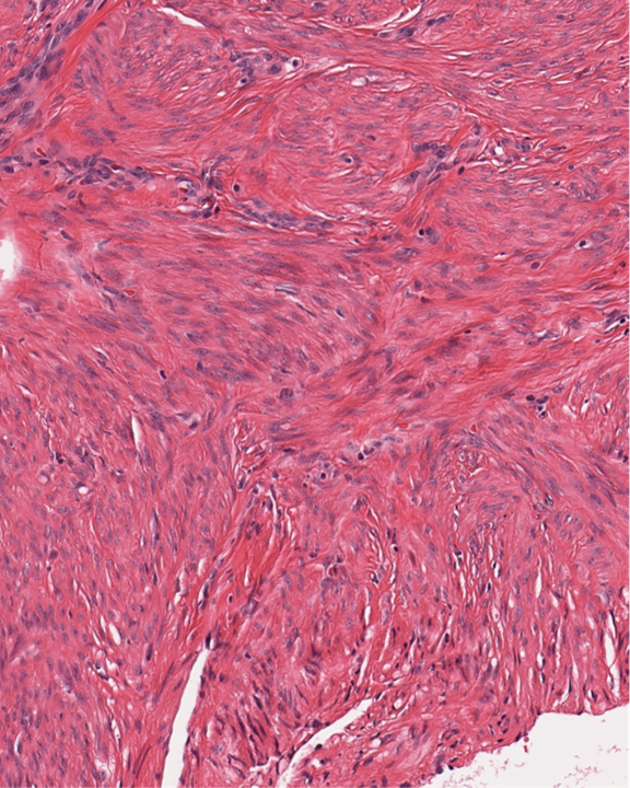
Medical Histopathology Images
Essential histopathology images, up to 180,000 x 80,000 pixels and over 2GB in size, are legally required to be stored for seven years, leading to substantial storage costs.
- False Economy of Short-Term Storage: Opting for shorter storage periods results in:
- Rescan Variability: Differences from original scans due to equipment or operator changes, affecting diagnoses.
- Legal Risks: Discrepancies in rescans can lead to legal issues.
- Hidden Rescan Costs: Physical slide storage and rescanning add extra expenses and delays.
HiPix’s advanced compression technology reduces Histopathology image sizes by 40-60% compared to traditional WSI JPEGs, while ensuring peerless quality and structural integrity.

Sharing Rich Media pictures
Once the hipix application is installed on the smartphone, it enables you to share high-resolution pictures at about half the size of the phone’s JPEG files with equal or improved quality, with embedded media tags. Multiple audio tags can be recorder and included in the hipix file. Multiple text and contact tags can be added smoothly as well. Contact tags and URL tags addition to the pictures is also done with a simple touch of the screen.
hipix images can be share via Whatsapp, Telegram, Facebook Messenger, eMail… as long as the receiving party has the application installed.

On the left side of Hayley’s picture below, we have the original OnePlus 5000 2592 x 4608 Pixels (11.94 MPixels) JPEG picture, weighing 5.28 MB (5,540,837 Bytes). On the right side we have the reconstructed hipix image 2592 x 4608 Pixels (11.94 MPixels), weighing 1.99 MB (2,093,056 bytes).

5.28MB JPEG Vs. 1.99MB hipix – Left: JPEG Right: hipix